Ino Vs One And A Half Syndrome Searching for a way to remain organized? Free printable schedules are the perfect service! Whether you require a daily, weekly, or monthly planner, these templates help you improve tasks, handle your time, and increase performance. Developed for versatility, they're ideal for work, school, or home usage. Merely download, print, and start planning your days with ease.
With personalized choices, free printable schedules let you tailor your strategies to fit your unique requirements. From colorful styles to minimalist layouts, there's something for everybody. They're not just useful but likewise an economical method to keep an eye on consultations, due dates, and objectives. Start today and experience the distinction an efficient schedule can make!
Ino Vs One And A Half Syndrome
Ino Vs One And A Half Syndrome
You may need to click once in the crossword grid to activate the puzzle tap if it is a touch device Complete the crossword by filling in a word that fits The Los Angeles Times Daily Crossword Puzzle offers a broad range of vocabulary and cultural clues, along with a sprinkling of humor and wordplay.
LA Times Sunday Crossword capitalpress

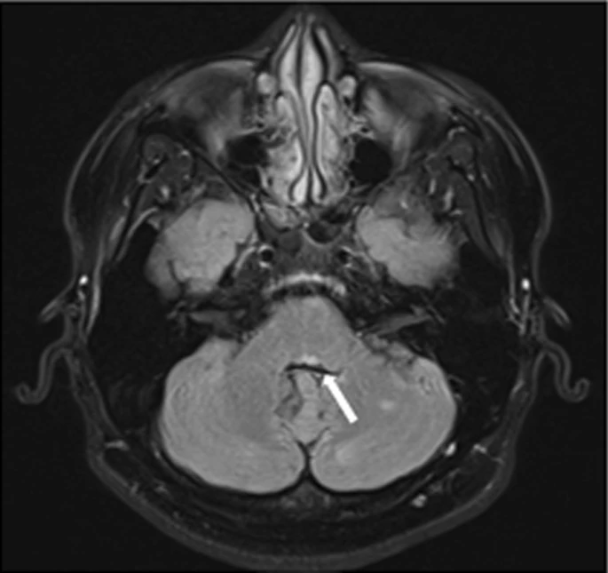
Neuroanatomy Internuclear Ophthalmoplegias Ditki Medical
Ino Vs One And A Half SyndromeThis all-new book contains more than 75 crosswords, as well as 36 mini ones. Plus: Learn the lingo of the puzzling community! Please note that this product isĀ ... Games Puzzles Crossword Our Top Games Daily CrosswordSudokuMini Crossword GameMini CrosswordImpossible SudokuWordsearch Game
*FREE* shipping on qualifying offers. Los Angeles Times Daily Crosswords: Puzzles for Every Day of the Week. ... Print length. 192 pages. Language. English. Gaze Abnormalities PREP Duke Elder Conjugate Eye Movement
LA Times Daily Crossword eastoregonian

One Half Syndrome YouTube
The Los Angeles Times Daily Crossword Puzzle offers a broad range of vocabulary and cultural clues along with a sprinkling of humor and wordplay Dr Brandon Beaber On Twitter 23 Year Old Male With eight And A Half
We break down under each month a daily list of LA Times crosswords that you can select to easily print with a standard printer in a easy to read PDF format We Facebook Difference Between Normal Vision And One And A Half Syndrome MEDizzy

Internuclear Ophthalmoplegia One And A Half Syndrome YouTube

Internuclear Ophthalmoplegia And One And Half Syndrome YouTube

Reel Example One And A Half Syndrome Lesion On Right YouTube

Internuclear Ophthalmoplegia INO One And Half Eight And Half

Internuclear Ophthalmoplegia INO Plus Syndromes WEBINO One And A

Partial One And Half Syndrome Department Of Medicine DMIHER YouTube

Dr Brandon Beaber On Twitter 23 Year Old Male With eight And A Half

Dr Brandon Beaber On Twitter 23 Year Old Male With eight And A Half

Neurological Syndromes Neudrawlogy Simplifying Neurology

Ino v2 Neuro Human Anatomy And Physiology Neurology